What Does a Dental Crown Look Like?

When a tooth needs extra protection or a little cosmetic help, a dental crown is often the solution. But what exactly is a crown, and what does it look like? Many people wonder about the appearance of these tooth caps, especially before and after they are placed. This article breaks down what a dental crown looks like, the materials used, and how they are designed to blend in with your natural smile.
Key Takeaways
- A dental crown is essentially a tooth-shaped cap that covers a damaged or weak tooth, restoring its shape, size, and strength.
- The appearance of a dental crown depends heavily on the material used, with options ranging from metal to porcelain and ceramic.
- Porcelain and ceramic crowns are designed to mimic the natural look of teeth, matching color, shape, and translucency for a seamless blend.
- Custom design and precise color matching by dental technicians ensure that a crown looks natural and fits comfortably.
- Before and after placement, a crown dramatically improves the tooth's appearance, function, and the patient's overall confidence.
Understanding the Purpose of a Dental Crown
A dental crown, often called a 'cap,' is essentially a custom-made covering designed to fit snugly over a damaged or weakened tooth. Think of it like a protective helmet for your tooth. Its main job is to restore the tooth's strength, shape, and overall appearance when it's too damaged for a regular filling but not so far gone that it needs to be removed entirely.
There are several reasons why a dentist might recommend a crown. These can include:
- Severe tooth decay: When decay is extensive, a crown can protect the remaining tooth structure.
- After root canal treatment: Teeth that have undergone a root canal often become more brittle, and a crown provides necessary reinforcement.
- Broken or cracked teeth: A crown can hold a fractured tooth together, preventing further damage and pain.
- Worn-down teeth: If teeth have been significantly worn down, perhaps from grinding, a crown can restore their original size and function.
- Cosmetic improvements: Crowns can cover up misshapen or severely discolored teeth, giving you a more uniform smile.
- To support a dental bridge: Crowns are often used on the teeth adjacent to a gap to anchor a bridge.
- Over a dental implant: A crown is the visible part of a dental implant, replacing a missing tooth.
The primary goal of a dental crown is to preserve the natural tooth and restore its function and look. It helps prevent further problems and can significantly improve your ability to chew and speak comfortably. Choosing the right type of crown is important for both function and aesthetics, and your dentist will discuss the best options for your specific situation. Learning about dental crowns can help you understand the process better.
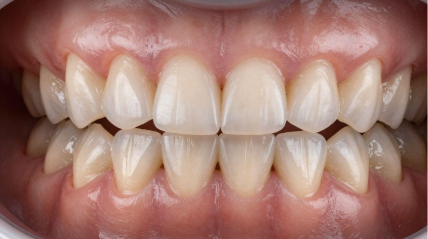
What a Dental Crown Looks Like
When you think about getting a dental crown, you might wonder, "what does a tooth crown look like?" The good news is that modern dental crowns are designed to blend in seamlessly with your natural teeth. They aren't the shiny, metallic caps of the past. Instead, they're custom-made to match the color, shape, and size of your existing teeth, creating a uniform and natural-looking smile. Most people won't even notice you have a crown unless you tell them.
So, what does a ceramic dental crown look like, or what does a porcelain crown look like? These materials are popular because they can mimic the natural appearance of a tooth very well. Dentists use shade guides to ensure the crown matches your current tooth color, whether it's a bright white or a warmer ivory tone. The goal is to make it look like it belongs, not like a replacement.
- Color Matching: The crown is precisely colored to match your adjacent teeth.
- Shape and Size: It's sculpted to fit your bite and complement the surrounding teeth.
- Translucency: Advanced materials can even replicate the subtle way light passes through natural enamel.
- Gumline Fit: A well-made crown fits snugly at the gum line, with no visible gap or awkward edge.
The appearance of your crown is a top priority. Dentists work to ensure it looks just like your natural teeth, restoring both the function and the beauty of your smile. This attention to detail helps you feel more confident when you smile.
While materials like porcelain and ceramic offer a very natural look, it's worth noting that different materials can affect the final appearance and durability. For instance, porcelain crowns can look very natural, but they might be more prone to chipping, making them less ideal for back teeth that handle a lot of chewing. Other materials, like porcelain-fused-to-metal, combine durability with a natural look, though there's a small chance the metal could show through over time. Ultimately, the choice of material is discussed to balance aesthetics with the specific needs of the tooth. You can see examples of these transformations in before and after photos of dental crown treatments.
Materials Used for Dental Crowns and How They Affect Appearance
When you get a dental crown, it's not just a one-size-fits-all deal. The material chosen plays a big role in how it looks, feels, and even how long it lasts. Think of it like picking out paint for a room – you have different options, and each gives a different vibe.
The look of your crown really depends on what it's made of. Some materials are chosen for their strength, others for their natural appearance, and sometimes it's a mix of both.
- Porcelain: This is a popular choice because it looks a lot like natural tooth enamel. It can be colored to match your other teeth pretty closely, making it a good option for front teeth where appearance matters most. However, porcelain can be a bit more fragile and might chip, especially on back teeth that handle a lot of chewing.
- Ceramic (including Zirconia): These are also great for a natural look. Zirconia, a type of ceramic, is super strong, even stronger than porcelain. It holds up well to chewing and grinding, making it a good choice for back teeth. It can also be made to look very natural.
- Porcelain-Fused-to-Metal (PFM): This type combines a metal base for strength with a porcelain coating for a more natural look. It's a solid option that balances durability and appearance. The main thing to watch for is that sometimes, over time, a little bit of the metal might show through near the gum line, giving a slight gray tint.
- Metal Alloys (like Gold): These are incredibly durable and rarely chip or break. They're a fantastic choice for strength, especially for back teeth. However, their metallic color is quite noticeable, so they're usually not the first pick for visible teeth unless someone prefers that look.
- Resin: These are typically less expensive but also less durable. They're often used for temporary crowns while a permanent one is being made.
The goal is always to find a material that not only restores the tooth's function but also blends in beautifully with your smile. Your dentist will talk through these options with you to figure out the best fit for your specific needs and where the crown will be placed in your mouth.
How Dental Crowns Are Custom Designed
Getting a dental crown isn't a one-size-fits-all situation. Each crown is made specifically for you, kind of like a tailored suit for your tooth. This custom design process is key to making sure the crown looks natural, feels comfortable, and works just right.
First, your dentist will examine your tooth and the surrounding area. They'll take measurements or digital scans to get a precise picture of your mouth. If your tooth needs a lot of work, sometimes a root canal is done first to make sure the tooth is healthy enough for the crown. Then, the dentist shapes the damaged tooth to make room for the crown. This preparation is important for a good fit.
Next comes the part where the crown is actually made. For many traditional crowns, this involves taking impressions of your teeth. These molds are sent to a dental lab where technicians use them to craft your crown. This lab work can take a couple of weeks. However, there are also advanced technologies, like CAD/CAM systems, that allow dentists to create same-day crowns right in the office. These systems use digital scans to mill the crown from a block of material, often ceramic, in just a short amount of time. This means you can get your permanent crown in a single visit, skipping the need for a temporary one.
The goal is always to match the crown's color, shape, and size to your natural teeth. This careful attention to detail ensures that the crown blends in seamlessly with your smile. After the crown is made, whether in a lab or in the office, it's fitted and permanently cemented onto your prepared tooth. Your dentist will check the bite and make any small adjustments needed for comfort.
- Initial Visit: Tooth preparation, impressions or digital scans taken.
- Lab Fabrication (if applicable): Crown is custom-made, usually taking 1-2 weeks.
- Second Visit (if applicable): Temporary crown removed, permanent crown fitted and cemented.
- Same-Day Crown Option: Crown is designed, milled, and placed all in one appointment using CAD/CAM technology.
What a Dental Crown Looks Like Before and After Placement
Patients often wonder how their smile will change when considering a crown. The process unfolds in clear, noticeable stages, and understanding "dental crown appearance before and after" can set expectations and calm nerves.
Before a crown is placed, the tooth underneath usually needs some preparation. It may look smaller or misshaped, as some enamel is removed to make room for the crown. This stage can be a bit surprising, especially if you’re expecting to see a complete tooth underneath. If you’re also curious about “what does a dental implant look like before the crown,” it’s actually quite different—the implant itself looks like a small, metal post in the gum, not a natural tooth.
- The dentist reshapes the natural tooth so the crown will fit securely
- A temporary crown is often put in place to protect the tooth while the permanent one is made
- The permanent crown is custom-fitted and colored to match the surrounding teeth
- Before Placement: Tooth might look smaller, flat, or have visible prep
- With Temporary: Slight color/texture mismatch, functional but basic
- After Placement: Natural shape, color, and smooth finish
It’s worth seeing examples in photo galleries, like those found in a dedicated before and after photo collection, to get a sense of real-world results.
Choosing a dental crown can change not only the strength and function of a tooth, but your confidence and willingness to smile. Most patients notice a real difference right away and are surprised by how natural the final result looks.
Good care after placement—such as daily brushing, flossing, and regular check-ups—helps maintain the "after" result for years. A well-made crown blends into your smile both in appearance and feel, letting you eat and speak as usual.
Your New Smile Awaits
So, what does a dental crown look like? In short, it looks like your natural tooth. Modern crowns are made to blend in perfectly, matching the color, shape, and even the subtle translucency of your other teeth. Whether you need one for strength, protection, or appearance, a well-made crown is practically invisible. It’s a fantastic way to restore your smile and keep your mouth healthy. Just remember to take good care of it with regular brushing and flossing, and it should serve you well for many years to come. If you have more questions or think a crown might be right for you, don't hesitate to talk to your dentist.
Frequently Asked Questions
Will people notice if I have a dental crown?
Modern dental crowns are designed to blend in perfectly with your natural teeth. Dentists carefully match the color, shape, and even the subtle look of your existing teeth. So, unless you mention it, most people won't even know you have a crown.
How long does it take to get a dental crown?
The entire process usually takes about two to three weeks. First, your dentist prepares the tooth and places a temporary crown. While a dental lab creates your custom crown, you'll wear the temporary one. Then, at your second appointment, the permanent crown is fitted.
Does getting a crown hurt?
No, the procedure itself shouldn't be painful because the area is numbed with local anesthesia. After the anesthesia wears off, you might feel some mild sensitivity for a few days, but over-the-counter pain relievers usually help manage any discomfort.
Can I eat normally after getting a crown?
With a temporary crown, it's best to avoid very hard or sticky foods. Once your permanent crown is cemented in place and has fully set (usually after about 24 hours), you can generally eat normally. However, it's always wise to avoid using your teeth as tools, like opening bottles.
What if my other teeth aren't perfectly white?
That's not a problem! Dentists use special shade guides to match the crown's color to your existing teeth, whatever their shade. The goal is to create a uniform and natural-looking smile, not just one super-white tooth.
How long do dental crowns typically last?
With good care, dental crowns can last for about 10 to 15 years, and sometimes even longer. Regular brushing, flossing, and dental check-ups are key to making your crown last.




